Por: Ricardo Bueno
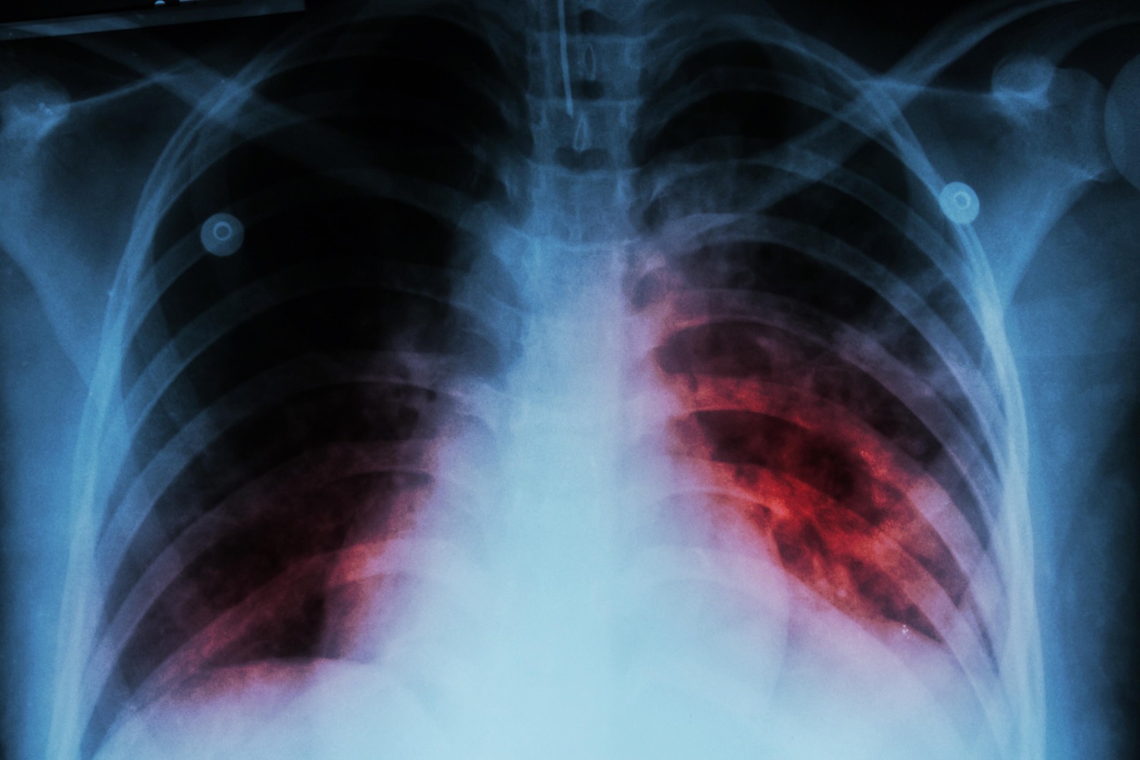
Piedras Negras, Coahuila.- En lo concerniente a las detecciones realizadas por parte del área de Micobacteriosis de la Jurisdicción Sanitaria para encontrar casos de tuberculosis, fueron 475 estudios, de los cuales 70 fueron positivos, mientras que por parte de otras instituciones se registraron 122 diagnósticos, lo que da un total de 192 pacientes que padecieron la enfermedad durante 2025.
Sallory Casas, responsable del área en mención, destacó que la mayor parte de los casos positivos son nuevos, siendo pocos los reincidentes, todos los pacientes recibieron su tratamiento de manera gratuita por espacio de seis meses para casos de primera vez, mientras que los que recaen llevan uno que dura de 9 a 12 meses.
La responsable del área recordó que toda aquella persona con tos constante por espacio de más de dos semanas es candidata a practicarse el estudio, el cual es gratuito en la Jurisdicción Sanitaria.